Erhöhte Basophile (Basophilen): Was bedeutet das, welcher Wert ist bedenklich und welche Untersuchungen sind sinnvoll?
Wenn Sie Ihren Blutbildbefund abholen und bei einem Parameter einen Pfeil nach oben sehen, ist das verständlicherweise beunruhigend. Steht dieser Pfeil bei „Basophile“ (BASO), taucht sofort die Frage auf: Was heißt das konkret – und muss ich mir Sorgen machen? Die Situation, in der man den Ausdruck in der Hand hält und gleichzeitig viele offene Fragen hat, kennen wir sehr gut. Deshalb haben wir diesen ausführlichen Leitfaden erstellt: Er erklärt Schritt für Schritt, wie Sie erhöhte Basophile einordnen und welche nächsten Schritte in der Diagnostik sinnvoll sind.
Dieser Artikel, verfasst vom Redaktionsteam Dobrze żyć, soll Ihnen verlässliche und praxisnahe Informationen geben. Sämtliche medizinischen Inhalte und Empfehlungen wurden fachlich von einem erfahrenen Hämatologen geprüft – für maximale Genauigkeit und Übereinstimmung mit dem aktuellen Stand der Medizin. Sie finden hier nicht nur Informationen zu erhöhten Basophilen und ihrer Bedeutung, sondern auch konkrete Hinweise zur Interpretation der Werte und zu möglichen weiteren diagnostischen Schritten.
Inhaltsverzeichnis
- Erhöhte Basophile im Überblick: das Wichtigste und eine schnelle Entscheidungshilfe
- Erhöhte Basophile (Basophilie): die häufigsten Ursachen im Überblick
- Diagnostischer Ablauf Schritt für Schritt: Welche Tests nach dem Befund?
- Warnzeichen: Welcher Basophilen-Wert ist kritisch und wann sollte man rasch zum Hämatologen?
- Erweiterte Diagnostik: Basophilen-Aktivierungstest (BAT) und Knochenmarkbiopsie
- Fazit: Erhöhte Basophile sind ein Hinweis – keine Diagnose
- Häufig gestellte Fragen (FAQ)
Erhöhte Basophile im Überblick: das Wichtigste und eine schnelle Entscheidungshilfe

Erhöhte Basophile – medizinisch Basophilie – sprechen am häufigsten für eine allergische Reaktion, einen chronischen Entzündungsprozess oder eine Schilddrüsenunterfunktion. Im Differenzialblutbild liegen die Referenzwerte für Basophile meist bei 0 bis 1% aller Leukozyten; als absolute Zahl entspricht das in der Regel etwa 100–300 Zellen pro Mikroliter (µl) Blut.
Wenn Ihre Basophile erhöht sind, gehen Sie am besten so vor:
- Schritt 1: Zuerst den Befund absichern. Lassen Sie das Blutbild wiederholen – idealerweise mit einem manuellen Blutausstrich, der in bestimmten Situationen aussagekräftiger sein kann als die rein automatische Zählung.
- Basisdiagnostik: Häufig sind ergänzende Tests sinnvoll, z. B. CRP und BSG (Entzündungsmarker), TSH (Schilddrüsendiagnostik) sowie ein allergologischer IgE-Check.
- Wann zum Spezialisten: Bleiben die erhöhten Basophilen über mehrere Kontrollen bestehen, sind sie deutlich erhöht oder nehmen sie zu – besonders zusammen mit weiteren Auffälligkeiten im Blutbild –, sollte zeitnah eine hämatologische Konsultation erfolgen.
Wenn bei Ihnen Allergien als Auslöser im Raum stehen (z. B. saisonale Beschwerden, Juckreiz, Niesattacken), finden Sie alltagstaugliche Hintergründe und praktische Hinweise auch in unserem Artikel darüber, welche gesundheitlichen Aspekte (inkl. Allergien) Haustiere mit sich bringen können.
Was sind Basophile und welche Aufgaben haben sie im Körper?
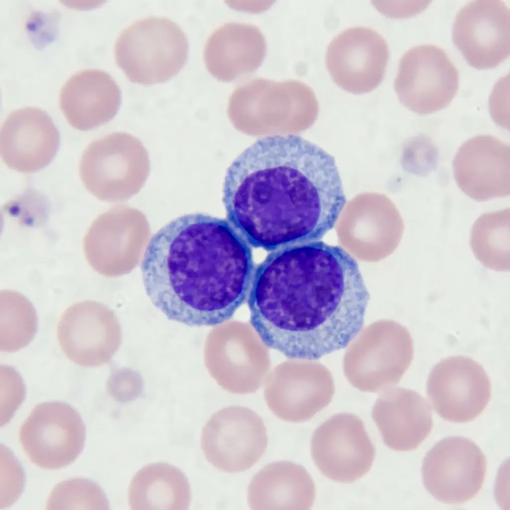
Basophile (auch Basophilen genannt) sind die zahlenmäßig kleinste Gruppe der weißen Blutkörperchen (Leukozyten), genauer: der Granulozyten. Obwohl sie nur einen kleinen Anteil der Immunzellen ausmachen, erfüllen sie eine zentrale Funktion in der Immunabwehr. Besonders wichtig ist ihre Beteiligung an Entzündungs- und Allergiereaktionen.
Typisch für Basophile sind Granula (Körnchen) im Zellinneren, in denen potente Botenstoffe gespeichert werden. Zu den wichtigsten zählen:
- Histamin: Nach der Freisetzung erweitert es Blutgefäße (Rötung, Schwellung) und erhöht deren Durchlässigkeit. Damit ist Histamin ein Hauptvermittler vieler Allergiesymptome – etwa bei Heuschnupfen oder Nesselsucht.
- Heparin: Ein körpereigener Gerinnungshemmer, der eine übermäßige Blutgerinnung im Entzündungsgebiet begrenzen kann und so den Zustrom von Immunzellen erleichtert.
Neben Allergien spielen Basophile auch bei der Abwehr bestimmter Parasiten sowie bei chronischen Entzündungen eine Rolle. Weil sie im Blut nur in sehr geringer Zahl vorkommen, können schon kleine Veränderungen der absoluten Zellzahl zu deutlichen Schwankungen in Prozent führen. Umso wichtiger ist eine sorgfältige, umfassende Interpretation der Basophilenwerte im Blutbild – immer mit Blick auf Prozentangabe und absolute Zahl.
Referenzbereiche der Basophilen: Wie interpretiert man Prozentwerte (%) und absolute Zahlen (Zellen/µl)?
Für die klinische Beurteilung ist es entscheidend, den Unterschied zwischen Prozentwert und absolutem Wert zu kennen – denn die absolute Zahl ist in der Praxis meist deutlich aussagekräftiger.
- Prozentwert (BASO %): Gibt an, wie viel Prozent der gesamten Leukozyten (WBC) Basophile sind. Bei Erwachsenen liegt der Referenzbereich typischerweise bei 0–1%.
- Absoluter Wert (BASO # bzw. Zellen/µl): Zeigt die tatsächliche Anzahl der Basophilen pro Mikroliter Blut. Häufig wird ein Bereich von 100–300 Zellen/µl als normal angegeben.
Der Prozentwert kann täuschen: Ist die Gesamtzahl der Leukozyten niedrig, kann selbst eine normale Basophilenzahl prozentual „zu hoch“ wirken. Umgekehrt kann bei sehr hohen Leukozyten ein unauffälliger Prozentwert eine tatsächlich erhöhte absolute Basophilenzahl verdecken.
Wie rechnet man den Prozentwert in eine absolute Zahl um?
Dazu benötigen Sie zwei Angaben aus dem Blutbild: BASO% und WBC (Gesamtleukozyten).
Formel: (BASO% / 100) * WBC (in Tsd./µl) * 1000 = Basophile/µl
Die folgende Tabelle zeigt, wie derselbe Prozentwert je nach WBC eine völlig unterschiedliche Bedeutung haben kann.
| BASO (%) | Gesamtleukozyten (WBC) | Berechneter absoluter Wert (Zellen/µl) | Klinische Einordnung |
|---|---|---|---|
| 2% | 5 000/µl (normal) | 100/µl | Im Referenzbereich |
| 2% | 10 000/µl (oberer Normbereich) | 200/µl | Im Referenzbereich |
| 2% | 15 000/µl (erhöhte WBC) | 300/µl | Grenzwertig |
| 2% | 25 000/µl (sehr hohe WBC) | 500/µl | Deutlich erhöht (Basophilie) |
Man sieht: 2% können je nach Gesamtsituation harmlos oder alarmierend sein. Deshalb bewerten Ärztinnen und Ärzte die Basophilen immer im Zusammenhang mit dem gesamten Blutbild – und bevorzugt anhand des absoluten Wertes.
Erhöhte Basophile (Basophilie): die häufigsten Ursachen im Überblick
Basophilie – also erhöhte Basophile – hat viele mögliche Auslöser: von vorübergehenden, eher harmlosen Ursachen bis hin zu seltenen, ernsthaften Erkrankungen. Für die Einordnung sind die übrigen Blutbildparameter und Ihre Beschwerden entscheidend.
Häufige Ursachen erhöhter Basophilen:
- Allergien: Der häufigste Grund. Reaktionen auf Inhalationsallergene (Pollen, Hausstaubmilben), Nahrungsmittel oder Kontaktallergene aktivieren Basophile und fördern die Histaminfreisetzung. Nicht selten sind parallel auch Eosinophile erhöht. (Suchbezug: „Basophile Allergien“.)
- Endokrinologische Erkrankungen: Vor allem eine Schilddrüsenunterfunktion, einschließlich Hashimoto-Thyreoiditis. Hormonelle Veränderungen können die Blutbildung und die Funktion von Immunzellen beeinflussen.
- Chronische Entzündungen und Autoimmunerkrankungen: Beispielsweise rheumatoide Arthritis, Colitis ulcerosa oder systemischer Lupus erythematodes können das Immunsystem dauerhaft stimulieren – inklusive der Basophilen.
- Infektionen: Bestimmte Infektionen, insbesondere virale (z. B. Windpocken, Influenza) sowie parasitäre, können vorübergehend erhöhte Basophile verursachen.
- Myeloproliferative Neoplasien (MPN): Die seltenste, aber klinisch wichtigste Gruppe. Dazu zählen chronische myeloische Leukämie (CML), Polycythaemia vera und Myelofibrose. In diesen Fällen ist die Basophilie meist ausgeprägt und geht oft mit weiteren deutlichen Auffälligkeiten einher (z. B. starke Leukozytose, Anämie oder Veränderungen der Thrombozyten). Mehr zur Einordnung von Basophilen im Kontext der CML-Diagnostik finden Sie in den Quellen.
Die nächste Tabelle vergleicht vereinfacht typische Blutbildmuster in unterschiedlichen klinischen Situationen.
| Parameter | Allergie | Schilddrüsenunterfunktion | Verdacht auf chronische myeloische Leukämie (CML) |
|---|---|---|---|
| Basophile (BASO) | Leicht bis moderat erhöht | Leicht erhöht | Deutlich erhöht, oft zunehmend |
| Eosinophile (EO) | Häufig erhöht | Im Referenzbereich | Können erhöht sein |
| Leukozyten (WBC) | Normal oder leicht erhöht | Normal | Deutlich erhöht (>20 000/µl) |
| Hämoglobin (HGB) | Normal | Normal oder leicht erniedrigt | Oft erniedrigt (Anämie) |
| Thrombozyten (PLT) | Normal | Normal | Können erhöht, normal oder erniedrigt sein |
Diagnostischer Ablauf Schritt für Schritt: welche Tests nach dem Befund?

Ein Blutbild mit erhöhten Basophilen ist der Startpunkt der Abklärung – nicht das Ende. Der folgende Ablauf hilft, strukturiert vorzugehen: von der Bestätigung des Ergebnisses bis zur spezialisierten Diagnostik.
- Schritt 1: Ergebnis bestätigen und manueller Blutausstrich
Auffällige Werte aus dem automatischen Hämatologiegerät sollten bestätigt werden. Häufig wird empfohlen, das Blutbild nach 2–4 Wochen zu wiederholen und ausdrücklich einen manuellen Blutausstrich anzufordern. Dabei beurteilt die Laborfachkraft die Zellen mikroskopisch; so lassen sich Basophile zuverlässiger differenzieren und ggf. atypische oder unreife Zellen erkennen, die ein Automat übersehen oder falsch klassifizieren könnte. - Schritt 2: Basis-Labor
Zeigt auch die Kontrolle eine Basophilie, veranlasst die hausärztliche Praxis in der Regel ein Grundpaket, um die Ursachen einzugrenzen:- CRP und BSG: Allgemeine Entzündungsmarker.
- TSH: Screening auf Schilddrüsenerkrankungen.
- Gesamt-IgE: Hinweis auf eine allergische Komponente.
- Schritt 3: Zielgerichtete Abklärung
Anamnese, körperliche Untersuchung und die Ergebnisse aus Schritt 2 steuern das weitere Vorgehen. Je nach Verdacht können folgen:- Spezifische IgE-Allergiepanele: Wenn Gesamt-IgE erhöht ist, helfen sie, konkrete Auslöser zu identifizieren.
- Parasiten-Diagnostik: Bei Hinweisen auf eine parasitäre Infektion.
- Anti-TPO- und Anti-TG-Antikörper: Bei Verdacht auf Hashimoto-Thyreoiditis.
- Schritt 4: Überweisung zur Hämatologie
Ist die Basophilie deutlich, dauerhaft oder von weiteren Warnzeichen begleitet (siehe nächster Abschnitt), sollte die hausärztliche Praxis zeitnah an eine hämatologische Fachabteilung überweisen. - Schritt 5: Molekulargenetische Tests (beim Hämatologen)
Bei Verdacht auf eine myeloproliferative Erkrankung werden spezielle genetische Analysen aus Blut veranlasst. Besonders relevant sind:- Nachweis von BCR-ABL1: Entscheidend zum Bestätigen oder Ausschließen einer CML.
- Nachweis einer JAK2-Mutation: Typisch für andere MPN, etwa Polycythaemia vera.
Wenn im Rahmen der Abklärung auch eine Infektion diskutiert wird (z. B. wiederkehrende Atemwegsbeschwerden, Fieber, Entzündungszeichen), kann es hilfreich sein, sich vorab in unseren Leitfaden einzulesen, warum Antibiotika ohne Rezept keine gute Idee sind und welche sichere Selbsthilfe wirklich sinnvoll ist.
Warnzeichen: welcher Basophilen-Wert ist kritisch und wann sollte man rasch zum Hämatologen?

In den meisten Fällen ist Basophilie gutartig erklärbar. Es gibt jedoch Konstellationen, die als Warnsignale gelten und nicht aufgeschoben werden sollten. Entscheidend ist dabei nicht ein einzelner Wert, sondern das Gesamtbild und die Entwicklung über die Zeit.
Der wichtigste Maßstab ist der absolute Wert!
Bedenklich ist vor allem eine über mehrere Kontrollen persistierende oder ansteigende absolute Zahl der Basophilen – insbesondere bei Werten über 500/µl, und erst recht bei 1000/µl.
Warnsignale („Red Flags“) im Blutbild:
Eine rasche hämatologische Abklärung ist angezeigt, wenn zur Basophilie mindestens einer der folgenden Punkte hinzukommt:
- Ausgeprägte Leukozytose: WBC > 20 000/µl.
- Anämie: Erniedrigtes Hämoglobin und Hämatokrit.
- Thrombozytopenie: Zu niedrige Thrombozyten (PLT).
- Unreife Zellformen im Ausstrich: Zellen, die normalerweise nur im Knochenmark vorkommen (z. B. Blasten, Myelozyten, Metamyelozyten).
- Zusätzliche Erhöhung anderer Granulozyten: Deutlich erhöhte Neutrophile und/oder Eosinophile.
Klinische Beschwerden, die ernst genommen werden müssen:
Neben Laborwerten sind auch Allgemeinsymptome relevant, zum Beispiel:
- Nachtschweiß.
- Unbeabsichtigter Gewichtsverlust (>10% innerhalb von 6 Monaten).
- Anhaltende, ausgeprägte Erschöpfung.
- Vergrößerte Milz – spürbar als Druck-/Völlegefühl oder Schmerz im linken Oberbauch.
Wenn erhöhte Basophile zusammen mit einem dieser Warnzeichen auftreten, warten Sie nicht ab, sondern lassen Sie die Situation ärztlich zeitnah klären.
Da Schlaf und Regeneration stark beeinflussen, wie belastbar man sich in solchen Phasen fühlt, finden Sie ergänzend einen praxisnahen Überblick in unserem Beitrag über gesunden Schlaf und Schlafhygiene zur besseren Regeneration.
Erweiterte Diagnostik: Basophilen-Aktivierungstest (BAT) und Knochenmarkbiopsie

In komplexeren Fällen reichen Routineuntersuchungen manchmal nicht aus, um eine eindeutige Diagnose zu stellen. Dann kommen spezialisierte Verfahren zum Einsatz.
Basophilen-Aktivierungstest (BAT)
Der Basophilen-Aktivierungstest ist eine hochspezialisierte Funktionsuntersuchung aus einer Blutprobe (in vitro). Dabei werden die Basophilen der betroffenen Person mit verdächtigen Allergenen (z. B. Medikamenten, Insektengiften) konfrontiert. Anschließend wird – meist mittels Durchflusszytometrie – geprüft, ob die Zellen aktiviert werden.
- Einsatzgebiet: Vor allem in der erweiterten Allergiediagnostik, wenn Hauttests oder Bluttests nicht eindeutig sind, etwa bei Verdacht auf Arzneimittelallergie, Zusatzstoffe oder Insektengiftallergie.
- Grenzen: Relativ teuer, nicht überall verfügbar und an spezialisierte Labore gebunden.
Knochenmarkbiopsie
Die Knochenmarkbiopsie ist ein invasives Verfahren und wird meist dann erwogen, wenn ein starker Verdacht auf eine hämatologische Erkrankung besteht (z. B. Leukämie, myelodysplastisches Syndrom, Myelofibrose) und Blut- sowie molekulare Tests eine endgültige Bestätigung benötigen.
- Ziel: Direkte Beurteilung des Knochenmarks als „Produktionsstätte“ der Blutzellen. So lassen sich Zellmorphologie, Zellverteilung und zusätzliche zytogenetische Untersuchungen (Chromosomenanalysen) durchführen.
- Ablauf: Entnahme einer Knochenmarkprobe – meist aus dem Beckenkamm – mit einer speziellen Nadel (Knochenmarkaspiration und Trepanobiopsie). Die Untersuchung erfolgt in lokaler Betäubung.
- Wichtiger Hinweis: Bei Verdacht auf CML reicht zur Diagnosestellung häufig bereits der Bluttest auf BCR-ABL1. Eine Knochenmarkbiopsie ist zu Beginn nicht immer zwingend und wird eher zur Stadieneinschätzung und Prognose herangezogen. Weitere Informationen bietet z. B. Onkopedia.
Fazit: erhöhte Basophile sind ein Hinweis – keine Diagnose
Erhöhte Basophile im Blutbild sind ein relevantes Signal, das Aufmerksamkeit verdient, aber nur selten Anlass zur Panik ist. Es handelt sich nicht um eine fertige Diagnose, sondern um einen Hinweis, der im Gesamtzusammenhang bewertet werden muss – mit den übrigen Laborwerten, Ihrem Befinden und Ihrer Krankengeschichte.
In der überwiegenden Zahl der Fälle steckt hinter Basophilie eine gut behandelbare Ursache, etwa eine saisonale Allergie oder eine Schilddrüsenunterfunktion. Wichtig ist jedoch: den Befund nicht ignorieren. Ein ruhiges, systematisches Vorgehen – Gespräch mit der behandelnden Ärztin/dem behandelnden Arzt, Kontrolle des Blutbilds (idealerweise als morfologia krwi z rozmazem / Blutbild mit Ausstrich) und die empfohlene Diagnostik – ist der beste Weg, um die Ursache zu klären und wieder Sicherheit zu gewinnen.
Möchten Sie sich gut auf den Arzttermin vorbereiten? Laden Sie unsere Checkliste mit Fragen herunter, die Sie in der Sprechstunde stellen können – damit die Zeit optimal genutzt wird und keine wichtigen Punkte offen bleiben.
Häufig gestellte Fragen (FAQ)
Welche Referenzbereiche gelten für Basophile – und worin liegt der Unterschied zwischen Prozent und absolutem Wert?
Die Referenzwerte für Basophile liegen meist bei 0–1% der Leukozyten (Prozentwert) bzw. bei 100–300 Zellen/µl Blut (absoluter Wert; „100–300/µl Basophile“). Klinisch ist die absolute Zahl oft wichtiger, weil sie die tatsächliche Zellmenge unabhängig von Schwankungen der Gesamtleukozyten abbildet.
Wann sollten erhöhte Basophile rasch hämatologisch abgeklärt werden?
Eine zeitnahe hämatologische Konsultation ist sinnvoll, wenn zu erhöhten Basophilen weitere Auffälligkeiten hinzukommen: sehr hohe Leukozyten (z. B. >20 000/µl), Anämie, Thrombozytopenie, unreife Zellen im Ausstrich oder Allgemeinsymptome wie Nachtschweiß, Gewichtsverlust oder eine vergrößerte Milz.
Welche Untersuchungen sind als erstes sinnvoll, wenn Basophilie festgestellt wurde?
Der wichtigste erste Schritt ist die Wiederholung des Blutbilds mit manuellem Ausstrich, um den Befund zu bestätigen. Danach werden – je nach Anamnese und Beschwerden – häufig CRP und BSG (Entzündung), TSH (Schilddrüse) sowie Gesamt-IgE (Allergiehinweis) bestimmt. Das entspricht praktisch der Frage: „Welche Untersuchungen bei erhöhten Basophilen?“
Bedeuten erhöhte Basophile immer Allergie oder Leukämie?
Nein. Allergien sind häufig, und hämatologische Neoplasien wie CML sind die ernsthafteste, aber seltene Ursache. Dazwischen gibt es viele weitere Möglichkeiten: Schilddrüsenunterfunktion, Autoimmunerkrankungen, chronische Entzündungen oder bestimmte Infektionen. Ausschlaggebend ist eine strukturierte Differenzialdiagnostik.
Brauche ich bei isoliert leicht erhöhten Basophilen eine Knochenmarkbiopsie?
In der Regel nicht. Ein einmalig leicht erhöhter Basophilenwert (z. B. 2% bei normaler Leukozytenzahl) ohne weitere Blutbildauffälligkeiten und ohne Warnsymptome erfordert meist Beobachtung und eine Kontrolluntersuchung nach einigen Wochen oder Monaten.
Wie bereite ich mich auf den Termin beim Hämatologen vor?
Nehmen Sie Ihre gesamte medizinische Dokumentation mit, insbesondere frühere Blutbilder (wenn möglich mehrere über die letzten Jahre), um Trends zu erkennen. Notieren Sie außerdem alle Medikamente und Nahrungsergänzungsmittel sowie Beschwerden und seit wann sie bestehen.
Autoritative Quellen
- Erhöhter und erniedrigter Basophilenspiegel – Badania Krwi – Diese umfassende, nicht-kommerzielle Quelle erläutert Basophile, ihre Funktionen, Referenzbereiche, Ursachen für erhöhte Werte sowie die klinische Interpretation – passend zum Thema „erhöhte Basophile“ im Blutbild.
- Basophilen (Basophile) – Funktionen, Normwerte, erhöhte und erniedrigte Basophilen – Ein seriöses polnisches Gesundheitsportal mit medizinisch geprüften Inhalten zu Basophilen, ihrer biologischen Rolle, Normwerten und Ursachen von Abweichungen – hilfreich als vertiefende Lektüre.
- Chronische myeloische Leukämie – Untersuchungen – Eine autoritative polnische, hämatologische Non-Profit-Quelle mit detaillierten Hinweisen zur Diagnostik, in der Basophilen im Zusammenhang mit CML eine wichtige Rolle spielen.
- Basophile im Blut – wie interpretiert man die Untersuchungsergebnisse? – Informationsmaterial eines etablierten polnischen Labornetzwerks zur Interpretation von Basophilenwerten, Normen und klinischem Kontext – als Ergänzung zur Labor- und Referenzwertsektion.
- Knochenmarkbiopsie – was ist das, Arten, Entnahme von Knochenmark. – Onkopedia ist eine medizinisch fundierte polnische Wissensdatenbank, die Indikationen und Ablauf der Knochenmarkbiopsie erklärt – relevant für den Abschnitt zur erweiterten hämatologischen Diagnostik.